산과

/

88

/

88

42번

[RES20]

0

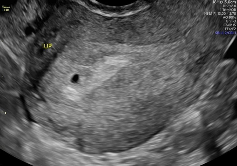
산과력 0-0-0-0, 29세 여성이 무월경 5주에 질 출혈로 내원하였다. 혈압은 118/68 mmHg, 맥박은 88회/분, 호흡은 20회/분, 체온은 36.7℃로 측정되었다. 골반진찰 시 소량의 혈액이 고여 있으나 자궁 경부는 닫혀 있고 추가적인 출혈은 없었다. 소변 임신 검사 결과 양성이며, 환자의 혈액형은 Rh(-)으로 확인되었다. 질 초음파 검사 결과이다. 필요한 처치는 무엇인가?

정답률 58%

누적 풀이 횟수 1,600+

평균 풀이 시간36초

/

나의 풀이 시간0

Imp: 절박유산 (threatened abortion)

해설

Rh(-) 산모의 무월경 5주 절박유산이 확인되므로 태아의 Rh Ab에 대한 alloimmunization을 예방하기 위해 RhIG를 투여한다.

• Rh(-) 산모가 Rh(+) 태아를 임신한 경우 산모가 태아의 RhD 항원에 감작되어 두번째 임신 시 산모의 RhD Ab가 태아의 RhD Ag과 결합, 심한 빈혈과 태아수종을 유발할 수 있다.

• 따라서 산모가 태아의 RhD 항원에 감작되는 것을 막기 위하여 임신 28주, 출산 후 72시간 이내 항D면역글로불린 (RhIG)을 투여한다.

• 마찬가지로 감작의 가능성이 있는 유산, 임신종결 (약물을 사용한 종결의 경우 10주 이후), 포상기태, 자궁외임신, 양수천자, 자궁출혈(절박유산 포함) 등의 상황에서도 항D면역글로불린 치료가 필요하다.

• 본 증례는 자궁출혈이 있었지만 active bleeding은 아니며, 자궁경부가 닫혀있으므로 threatened abortion에 준하여 보아야 하며, 따라서 RhIG를 투여한다.

Tip

• RhIG 접종 적응증

오답 선지

• 메토트렉세이트, 소파술: 자궁외 임신이 확인되었을 때 필요한 처치이다

• 항D 면역글로불린: Rh(-) 산모의 출산, 유산, 자궁외임신, 포상기태, 양수천자 등에서 산모가 태아의 RhD 항원에 감작되는 것을 막기 위하여 투여한다.

• 혈청 b-hCG 검사: 정상 자궁내 임신이 불확실할 경우 추이를 관찰한다.

관련 이론

태아 질환 및 손상

Reference

• Williams 26e, pp.360-364