부인과

/

83

/

83

30번

[RES21]

0

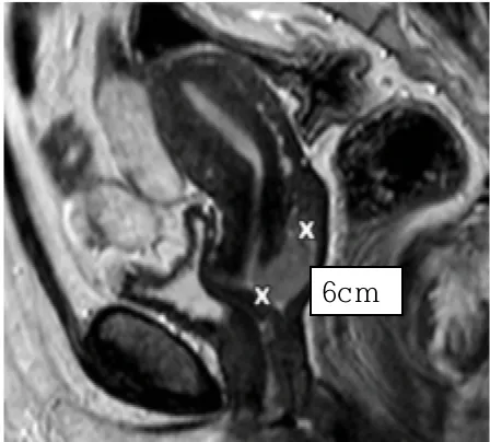
57세 여성이 4개월 전부터 불규칙한 질출혈을 호소하며 병원을 찾았다. 자궁경부에서 쉽게 출혈하는 종괴가 발견되어 조직검사를 시행한 결과, invasive squamous cell carcinoma로 진단되었다. 골반 검사에서 자궁 주변 조직(parametrium) 침범이 의심되었다. MRI 검사 결과 자궁경부 종양의 크기는 기존보다 약간 작았으며, 다른 부위로의 전이는 관찰되지 않았다. 이 환자의 치료 방법은 무엇인가?

정답률 87%

누적 풀이 횟수 1,900+

평균 풀이 시간25초

/

나의 풀이 시간0

Imp: 자궁경부암(cervical cancer), stage IIB

해설

• 자궁경부암이 parametrium을 침범했으며 그 이상의 침범은 확인되지 않으므로 stage IIB이다.

• 자궁경부암은 자궁주위조직 침윤 여부를 기준으로 stage IIB 이상부터는 수술이 아니라 concurrent chemoradiation therapy(CCRT)를 시행한다.

오답 선지

• Radical hysterectomy: Stage IA1, lymphovascular invasion (+) 부터 stage IIA 까지는 근치자궁절제술 + 림프절절제술을 시행한다.

관련 이론

자궁경부암

Reference

• Berek & Novak 16e, pp.2445-2540

FIGO guideline, 2021