부인과

/

83

/

83

32번

[RES21]

0

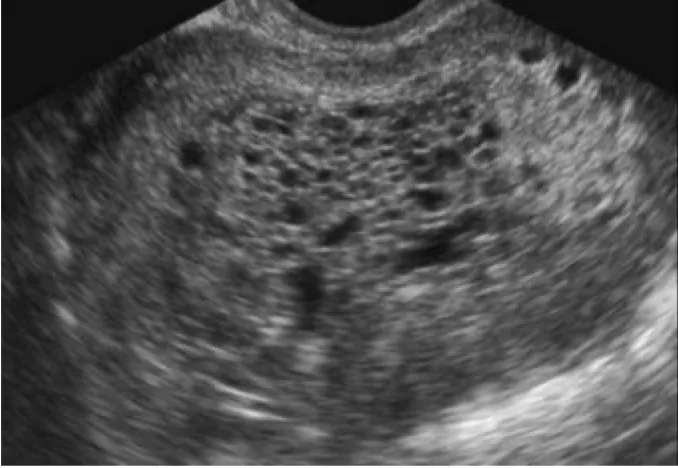
산과력 1-1-0-0인 32세 여성이 불규칙한 질 출혈을 호소하며 병원을 찾았다. 6주 전에 실시한 자궁경부 세포진 검사에서는 이상 소견이 없었다. 골반 초음파 검사 결과를 바탕으로 다음 중 우선적으로 시행해야 할 혈액 검사는 무엇인가?

정답률 99%

누적 풀이 횟수 1,300+

평균 풀이 시간13초

/

나의 풀이 시간0

Imp: 포상기태(hydatidiform mole)

해설

• 초음파 상 눈보라 현상(snowstorm pattern)이 관찰되어 포상기태가 의심된다.

• 포상기태 진단 및 기타 감별진단을 위한 호르몬 검사는 hCG이다.

관련 이론

임신융모질환

Reference

•Berek & Novak 16e, pp.2756-2794