부인과

/

83

/

83

39번

[RES20]

0

산과력 0-0-2-0인 29세 여성이 최근 몇 달간 월경량이 증가하고 월경통이 심해져 병원을 방문했다. 환자는 현재 월경 중이며, 응고된 혈덩이가 많이 나온다고 호소한다. 혈압은 110/70mmHg, 맥박은 105회/분, 호흡은 20회/분이다. 환자는 과거에도 월경량이 많았으며, 최근에는 배뇨 후 잔뇨감을 느낀다고 한다. 2년 전에 정맥혈전색전증으로 치료받은 병력이 있다. 필요한 처치는 무엇인가?

WBC 9,000/mm3, Hb 6.8 g/dL, Hct 21%, platelet 350,000/mm3

정답률 74%

누적 풀이 횟수 1,300+

평균 풀이 시간36초

/

나의 풀이 시간0

CC

월경량 증가, 월경통

Hx

정맥혈전색전증, 과다월경

S/Sx

V/S stable, 응고된 핏덩이, 배뇨 후 잔뇨감

Lab

Hb↓

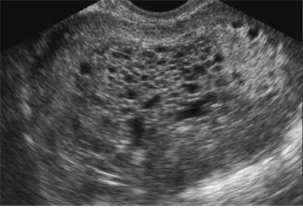
Img

US: snowstorm pattern

Etc

Imp: 포상기태(hydatidiform mole)

해설

초음파 상 snowstorm pattern이 관찰되어 포상기태 의심 하 진단 및 조직학적 감별을 위하여 자궁내막소파술을 시행한다.

• 질출혈로 내원한 여성의 초음파 상 snowstorm pattern이 관찰된다.

• Urine hCG (+)이면 포상기태로 진단 가능하다.

• 가임기 여성이므로 흡입긁어냄술을 통해 조직학적 진단과 치료를 동시에 진행한다.

오답 선지

• 경과관찰: 비정상적인 자궁출혈로 low Hb가 관찰되므로 원인 감별 및 치료를 위하여 D&E가 필요하다.

• 복합경구피임제, 레보노르게스테롤 자궁내장치 삽입: 자궁내막증 등 unopposed estrogen으로 발생하는 질환에서 선택하는 치료법이다.

• 자궁근종절제술: 자궁근종이 잔뇨감, 빈혈 등의 원인이 될 때 고려하는 치료법이다.

관련 이론

임신융모질환

Reference

• Berek & Novak 16e, pp.2756-2794