부인과

/

83

/

83

50번

[RES19]

0

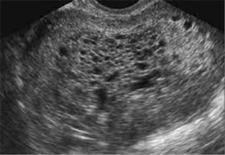
산과력 0-0-1-0인 31세 여성이 불규칙한 질출혈과 하복부 통증을 호소하며 병원을 방문했다. 환자는 평소 25~35일 간격의 월경주기를 가지고 있으며, 마지막 월경 후 10주가 지났다고 한다. 골반 검진 결과, 자궁은 임신 12주 크기로 촉진되었고, 왼쪽 난소는 성인 주먹만하며, 오른쪽 난소는 그보다 작게 느껴졌다. 검사 결과 및 초음파 소견은 아래와 같다. 이 환자에게 적절한 처치는 무엇인가?

소변: 임신반응검사 양성

혈액: 혈청 B-hCG 85,000 mIU/mL (참고치, <5)

정답률 87%

누적 풀이 횟수 1,600+

평균 풀이 시간26초

/

나의 풀이 시간0

Imp: hydatidiform mole

해설

LMP 10주의 여성에서 임신 12주 크기로 증가되어 있는 자궁, 왼쪽 난소가 주먹 크기로 촉진되고 있다. 초음파에서는 "snowstrom appearance"가 나타나고 있고, b-hCG가 매우 증가되어 있어 포상기태를 의심할 수 있다. 폐경기 여성에서는 자궁절제술을 시행할 수도 있으나, 분만력이 없는 젊은 여성이기 때문에 fertility를 생각해서 자궁내막긁음술(D&C)을 시행한다. 자궁내막긁어냄술은 진단과 치료를 동시에 시행할 수 있다.

• 난소가 주먹 크기로 커져 있는 것은, 포상기태에 잘 동반되는 Theca lutein cyst로 의심된다.

오답 선지

• 혈청 B-hCG 수치 추적검사 : 추적검사는 필요하다. 하지만 D&C를 통해 조직검사로 임신융모질환(GTN)을 배제한 후 시행한다.

• 응급개복술 : 자녀를 원치 않는 경우에 자궁절제술을 시행할 수 있으나 출혈 등이 동반되지 않은 상황에서 응급으로 시행해야하는 것은 아니다.

• 경과관찰 : 포상기태가 의심되기에 조직검사로 정확한 진단이 필요하다.

• 메토트렉세이트 : 주로 자궁외 임신의 치료로 사용된다.

관련 이론

포상기태의 치료

(1) 가임기 여성: 흡입긁어냄술 (조직학적 진단과 치료를 동시에)

(2) 폐경기 여성: 자궁절제술

(3) GTN 의심 소견 존재: H-mole 제거 후 예방적 CTx 시행

① hCG 추적검사하는데도 감소하지 않음

② 폐, 질 등 다른 장기로 전이 소견 관찰

(4) H-mole 치료 후에 정상 임신 기대할 수 있음 (재발률 1~2%)

• 다음 임신 시 1분기에 골반 초음파, 임신 종결 6주간 hCG 측정 시행해야 함

hCG 추적검사: 감소하지 않을 경우 GTN 의심되므로 시행

(1) 수술 후 3주 연속으로 undetectable(< 5mIU/mL)할 때까지 매주 시행

(2) 이후 3달 연속으로 undetectable할 때까지 매달 시행

Reference

• Berek & Novak 16e, pp.2756-2773