부인과

/

83

/

83

9번

[RES23]

0

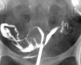
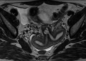
32세 여성이 난임으로 내원하였다. 과거에 세 번의 자연유산이 있었다. 남편의 정액 검사 결과는 정상이었다. 골반 MRI 및 자궁나팔관조영 검사 결과이다. 치료는?

정답률 92%

누적 풀이 횟수 2,200+

평균 풀이 시간15초

/

나의 풀이 시간0

Imp: Septate uterus

해설

• MRI상 자궁은 부피가 크고 앞쪽으로 기울어져 있으며, 두 개의 자궁강이 septum(low signal density로 보이고 있음)로 나뉘어 있다. 이 저신호는 자궁경부까지 뻗어 있으며, fundus의 평평한 윤곽이 관찰된다. 이는 완전 중격자궁(complete septate uterus)을 시사한다. 쌍각자궁의 경우 fundus에서 1cm 이상으로 깊게 함입되어 있다.

• 중격자궁은 자궁 중격 절제술을 시행하여 임신 성공률을 높일 수 있다.

Tip

• 자궁의 선천 기형의 구분

분류

자궁목

자궁강

특징

단각자궁

1개

1개

난관이 한쪽만 존재

쌍각자궁

1개

2개

자궁강 둔각

자궁바닥 함입 ≥ 1cm

중복자궁

2개

2개

질은 1개 or 2개

중격자궁

1개

2개

자궁강 예각

자궁바닥 함입 < 1cm (정상)

오답 선지

• 자궁내막 유착 박리술 : 아셔만 증후군에서 시행한다.

• 인공수정 : 중격자궁은 자궁 중격 절제술로 자연임신을 기대해볼수 있다.

• 지속적인 자연 임신 시도 : 이미 수차례 자연 유산이 있었기에 원인에 대한 치료가 필요하다.

• 양측 난소 절제술 : 임신을 위해서 내원하였다.

관련 이론

여성생식기 선천기형

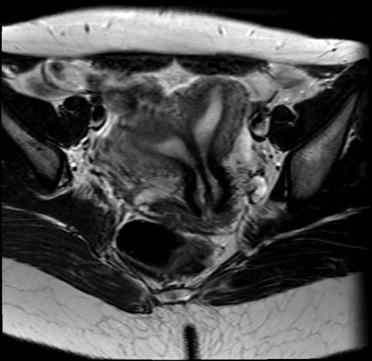
• 쌍각자궁의 모습 :

Reference

• Berek & Novak 16e, pp.2268

지문 사진

쌍각 자궁 사진