소아과 총론

/

49

/

49

33번

[RES17]

0

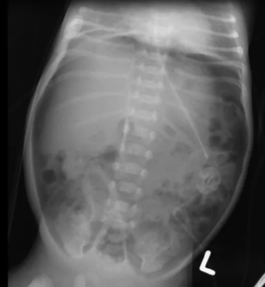
임신 31주, 출생체중 920 g의 여아가 출생 6일 째이다. 환아는 2일 전부터 무호흡, 발열, 복부 팽만, 혈변이 나타났다. 현재 경관 영양 공급을 하고 있다. 혈액검사와 복부 X선 검사 결과는 다음과 같다. 가장 적절한 조치는 무엇인가?

Hb 13.8 g/dL, WBC 35,000/㎣(중성구 78%), Platelet 225,000/㎣

정답률 72%

누적 풀이 횟수 300+

평균 풀이 시간26초

/

나의 풀이 시간0

Imp: pneumoperitoneum, Neonatal necrotizing enterocolitis

해설

재태연령 31주, 출생 체중 920g의 출생 6일 신생아가 복부 팽만, 무호흡, 발열, 혈변 등의 증상이 있다. 조산아에서 장관영양을 하다 발생한 복부 팽만, 구토, 혈변 등의 증상을 통해 신생아 괴사성장염을 의심할 수 있다. 또한 AXR에서 창자벽공기증, 기복증(복강의 outline이 air로 윤곽이 드러남)이 관찰되고 있기에 괴사성장염으로 인한 장 천공이 기복증까지 일으켰다고 볼 수 있다.

• 신생아괴사성장염의 치료는 금식 및 코위관 삽입, 수분 공급 등의 보존적 치료이지만, 장천공이 발견된 경우에는 응급개복술을 해야한다.

Tip

• 임종평에서 신생아괴사성장염에서 수술을 고를 것인지, 내과적 치료를 고를 것인지 선택해야 하는 문제들이 출제되었다. 장천공이 있다면 수술을 고르시고, 장천공이 없다면 내과적인 치료를 한다고 rough하게 알고 있어도 좋다.

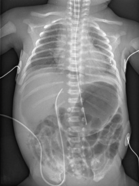
22-2 ACM : 신생아 중환자실에서 입원 치료 중인 생후 21일 된 신생아가 담즙 섞인 구토를 한다. 임신나이 29주, 출생체중 1,280 g으로 출생하였다. 출생 직후 호흡곤란증후군으로 폐표면활성물질 치료를 받았고 기계 환기 중이며, 생후 2일째 부터 입위관을 통하여 분유를 주입받고 있다. 신체진찰에서 복부 팽만이 관찰된다. 복부 X선사진이다. 치료는?

: 응급 개복수술 vs 금식 및 경과 관찰
AXR상 간 위쪽으로 공기음영이 관찰되는 pneumoperitoneum이 확인된다. 장천공이 있다는 뜻이므로 응급개복수술을 시행

22-1 ACM : 임신나이 28주 2일, 출생체중 1.3 kg, 질분만으로 출생한 남아가 신생아중환자실에서 치료 중 생후 2주경에 복부 팽만과 무호흡이 발생하였다. 입위관으로 분유를 먹고 있다. 맥박 170회/분, 호흡 55회/분, 체온 36.2℃이다. 배꼽 주위에 홍반이 관찰되고 장음은 감소했고 복부 촉진 시 아파한다. 검사 결과는 다음과 같다. 복부 X선사진이다. 치료는?

혈액: 백혈구 6,000/mm3, 혈색소 10.6 g/dL, 혈소판 25,000/mm3

Na+/K+/Cl-/HCO3- 124/4.5/102/12 meq/L

C-반응단백질 62 mg/L (참고치, <10)

대변: 잠혈검사 양성

: 개복술 vs 경과 관찰

현재 AXR상 subdiaphragmatic free air가 있으므로 장천공이 합병됨을 알 수 있고, 따라서 개복수술을 시행

20-2 ACM : 임신나이 27주, 출생체중 1.2kg, 제왕절개로 태어나 분유를 먹던 미숙아에게 생후 12일에 구토와 혈변이 나타났다. 혈압 50/20 mmHg, 맥박 130회/분, 호흡 30회/분, 체온 36℃이다. 복부는 팽만되어 있고 장음이 감소되어 있으며, 복부 피부에 홍반이 있다. 복부 X선 사진이다. 치료는?

항생제 vs 복막 배액술 vs 개복술

신생아 괴사 장염의 치료는 금식, 비위강 감압 및 수액투여와 혈액배양 이후 전신적 광밤위 항생제 투여다.

만약, 장천공의 소견이 보이거나 복부 천자액에서 그람 염색을 했을 때 세균이 발견된다면 개복술을 해야 한다.

• 개복술: 신생아 괴사 장염에서 시험적 개복술이 필요한 경우는 내과적 치료에 실패한 경우, 복벽에 홍반이 있거나 덩어리가 만져질 경우, 또는 복부 X선 사진에서 하나의 고정된 루프가 계속 보이는 경우로 교과서에서 기술하고 있다. 하지만 위의 문제에서는 개복술이 아닌 항생제가 답이다. Nelson 20판에는 앞서 언급된 경우들이 시험적 개복술을 위한 ‘relative indication’이라고 명시되어 있다. 즉, 절대적 적응증이 아니므로 가장 알맞은 답은 개복술이 아닌 항생제라고 말할 수 있다.

논란이 되었던 문제로, 질의 응답을 첨부한다.

질의 내용

“복부 홍반 피부를 문제 예시에 넣은 것이 학생들에게 오해의 소지가 있을 수 있었던 것 같습니다. 교과서에서도 명시되어있는 것과 같이 개복술은 장천공이 관찰되었을 때 시행하는 치료입니다. 환아는 아직 장천공이 관찰되지 않기 때문에 개복술이 치료가 아니라 금식과 항생제 투여를 하면서 내과적 치료를 합니다. 책에 언급되어있는 것처럼 내과적 치료에 실패하였거나 복벽에 홍반이 나타날 경우에 개복술이 아니라 시험적 개복술이 필요하다고 되어 있는 것처럼 1차 치료가 개복술이라고 되어 있지 않습니다. 치료가 개복술이라고 되어 있는 경우는 장천공일 때입니다. 시험적 개복술과 치료가 개복술인 것은 다른 의미입니다. 시험적 개복술은 임상적으로 도저히 내과적 치료에 반응하지 않고 개복술이 도움이 될 것을 고려하여 시험적으로 배를 절개 해 본다는 개념이므로 학생들은 신생아 괴사성 장염에서 치료는 금식, 비위강 감압 및 수액 그리고 광범위 항생제 투여로 알고 있어야겠습니다. 그리고 장천공의 증거가 있을 때 개복술이 치료가 되어야 함을 알고 있어야겠습니다.”

관련 이론

신생아 질환 - 소화기

Reference

• 홍창의 소아과학 12e, pp.333~334